What is it like when you get your braces removed? Check out this neat video where Dr. Gao removes a patient's braces...!
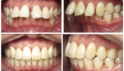
Before & After Smile Gallery
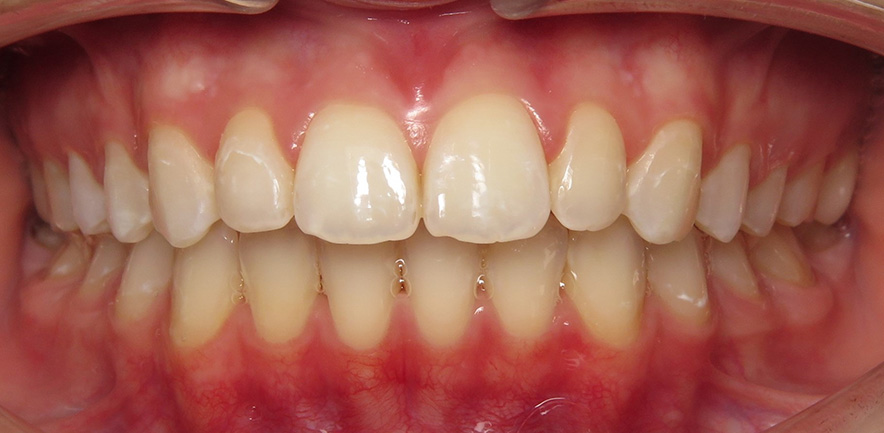
Before & After Smile Gallery
Anterior Crossbite 1
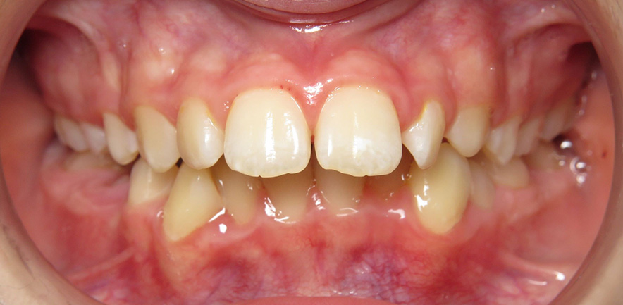
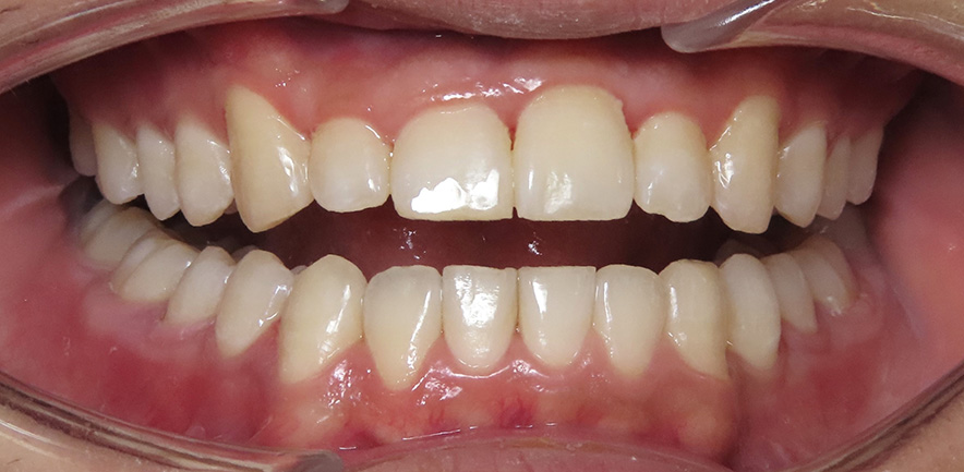
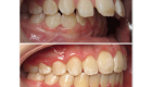
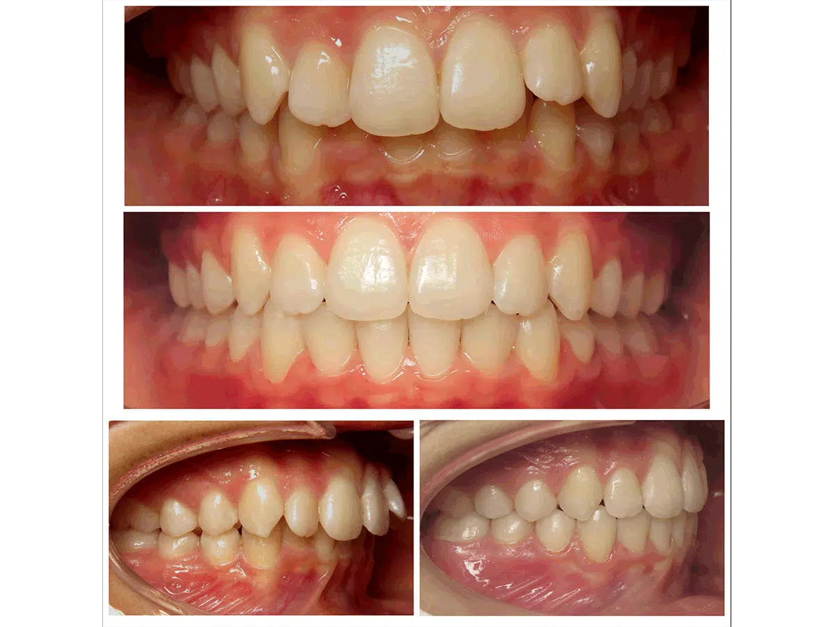
Protrusion and Severe overjet
Overbite With Severe Overjet
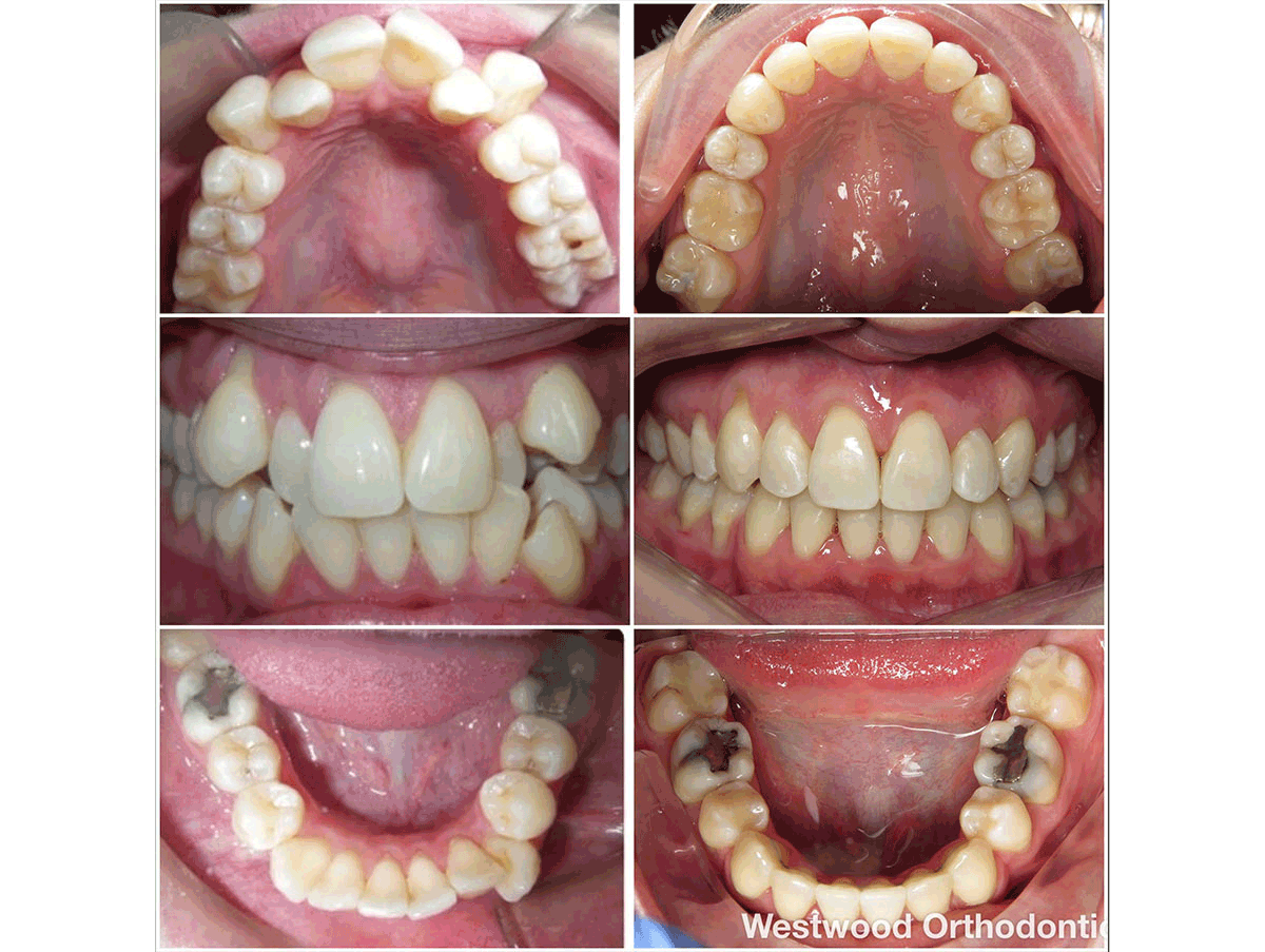
Severe Crowding 1
Severe Crowding 2
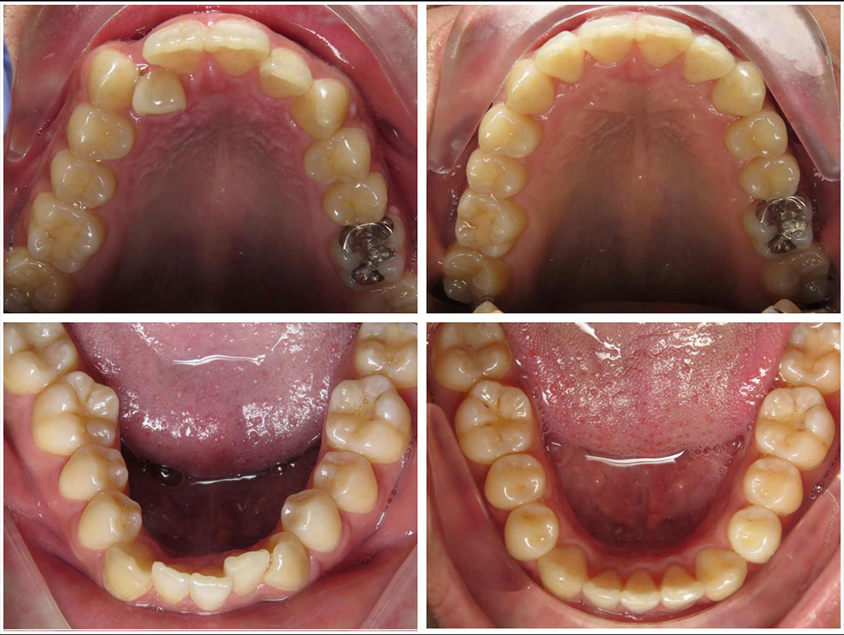
Maxillary Crowding
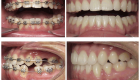
Anterior Crossbite 2
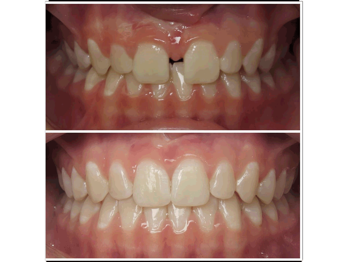
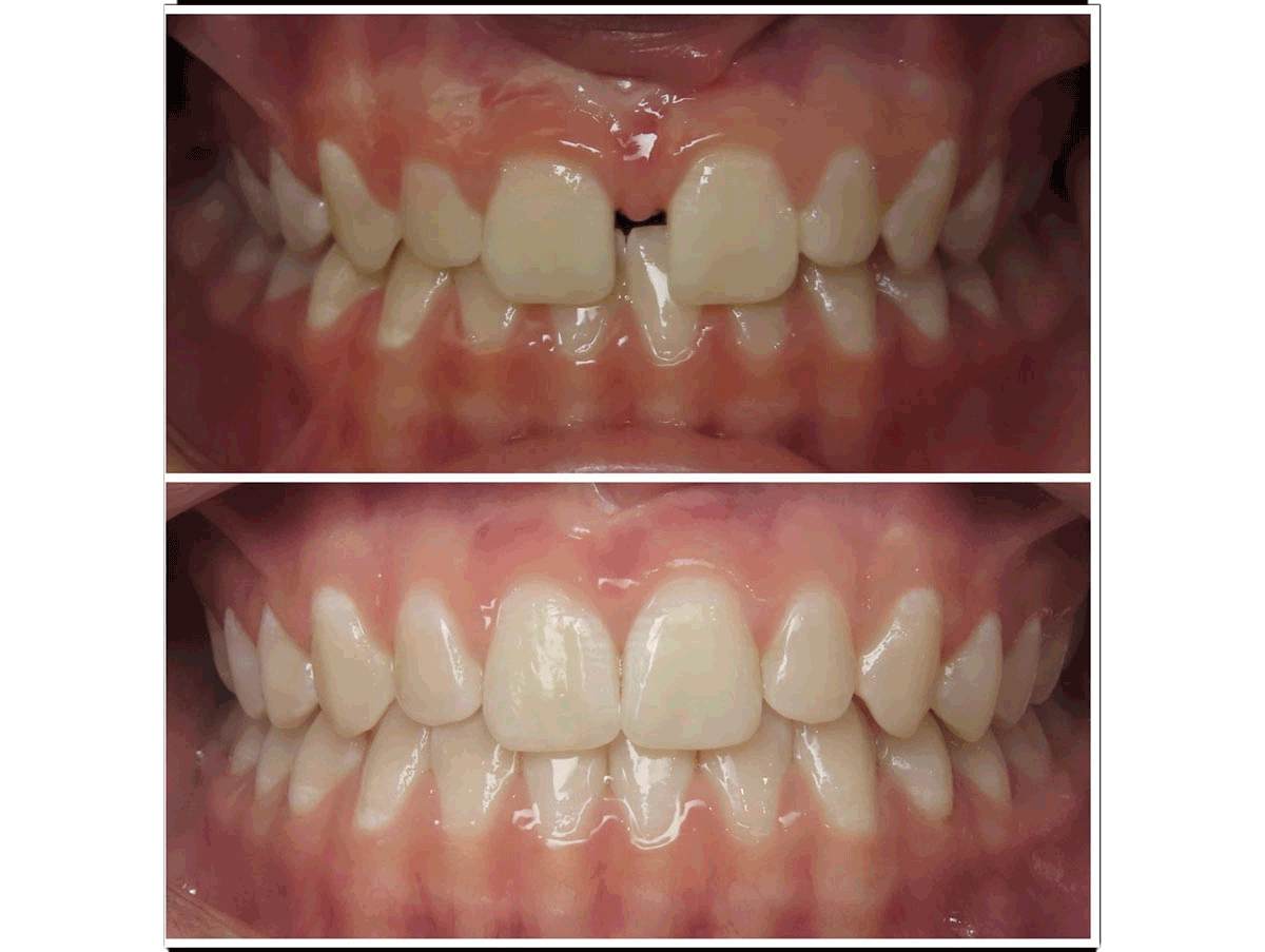
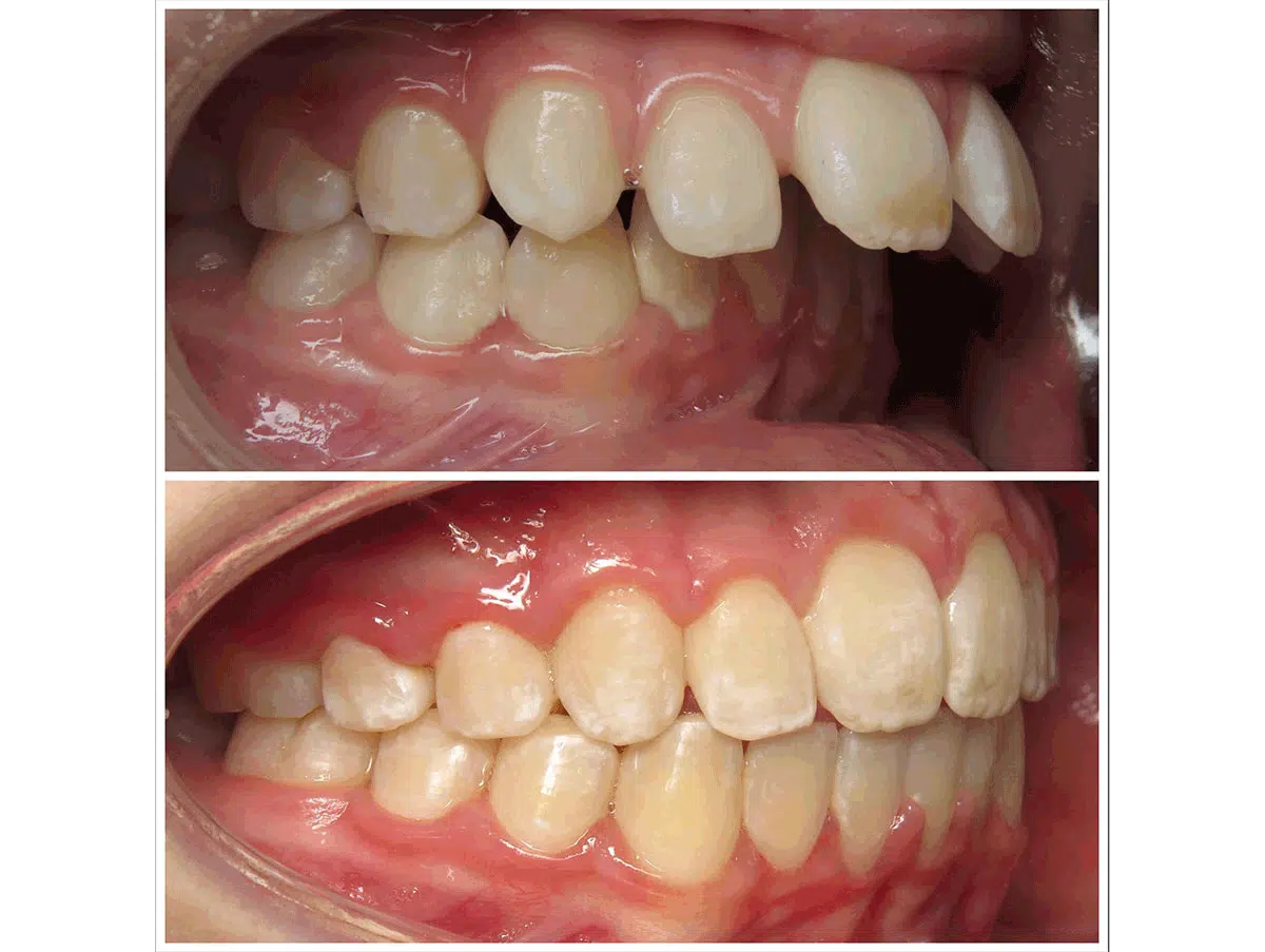
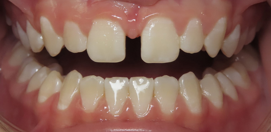
Diastema Spacing
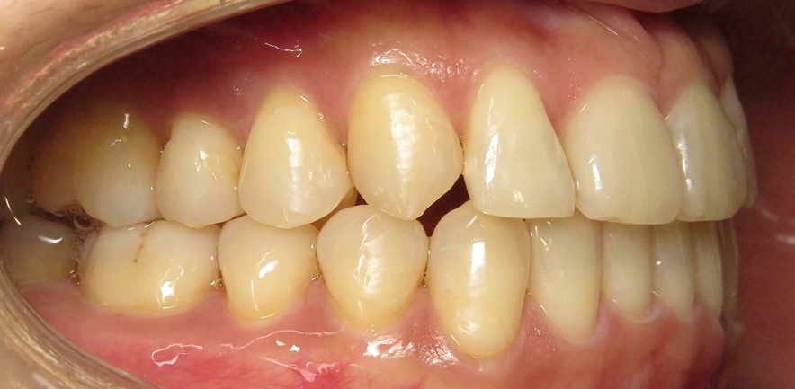
Single Tooth Crossbite
Before & After Smile Gallery2
Before & After Smile Gallery3
Common Treatments
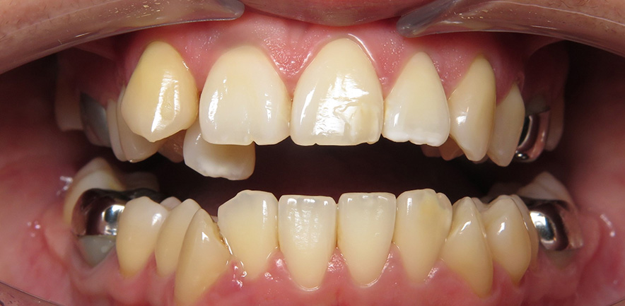
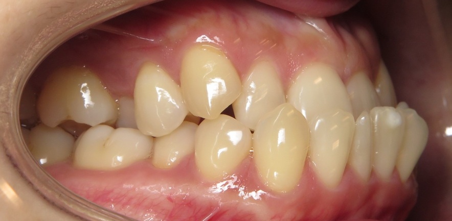
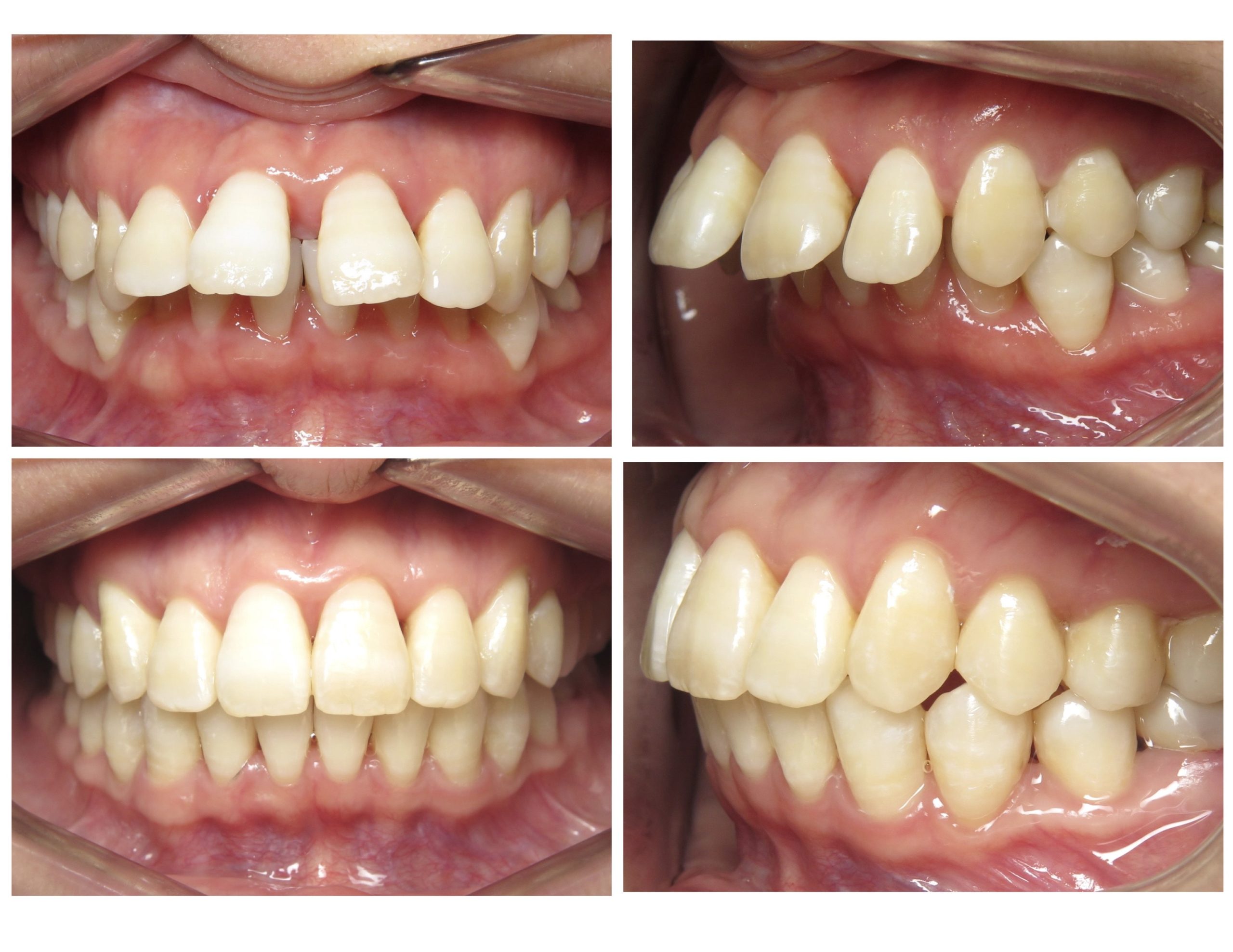
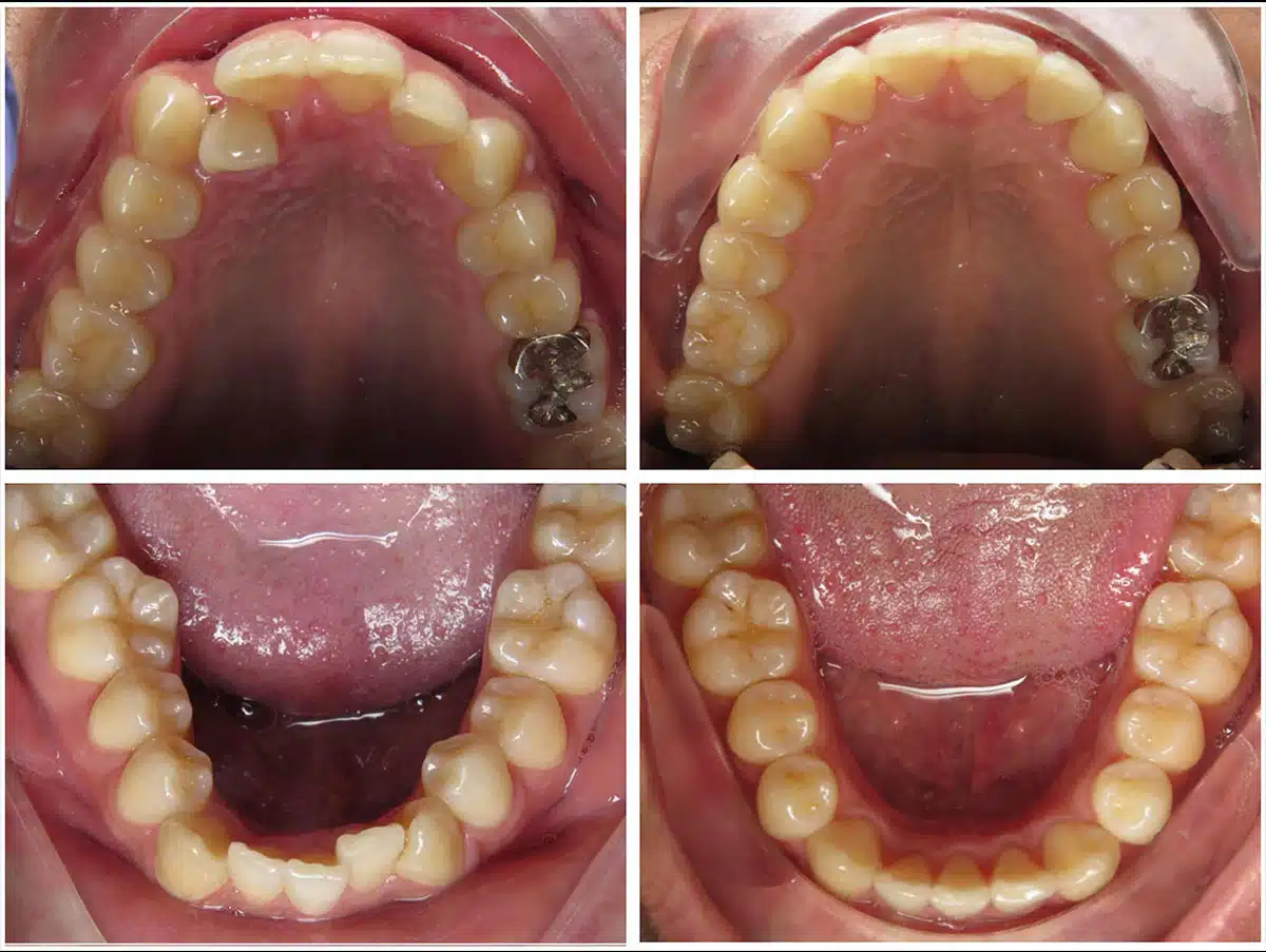
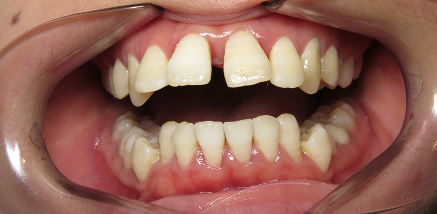
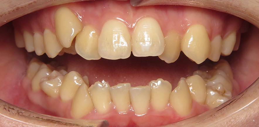
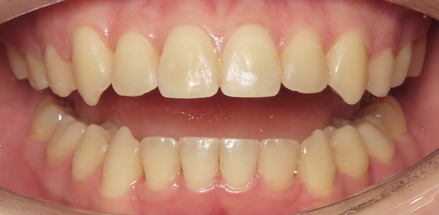
Below are some before and after photos, along with the corresponding descriptions of different types of issues and their respective treatments.
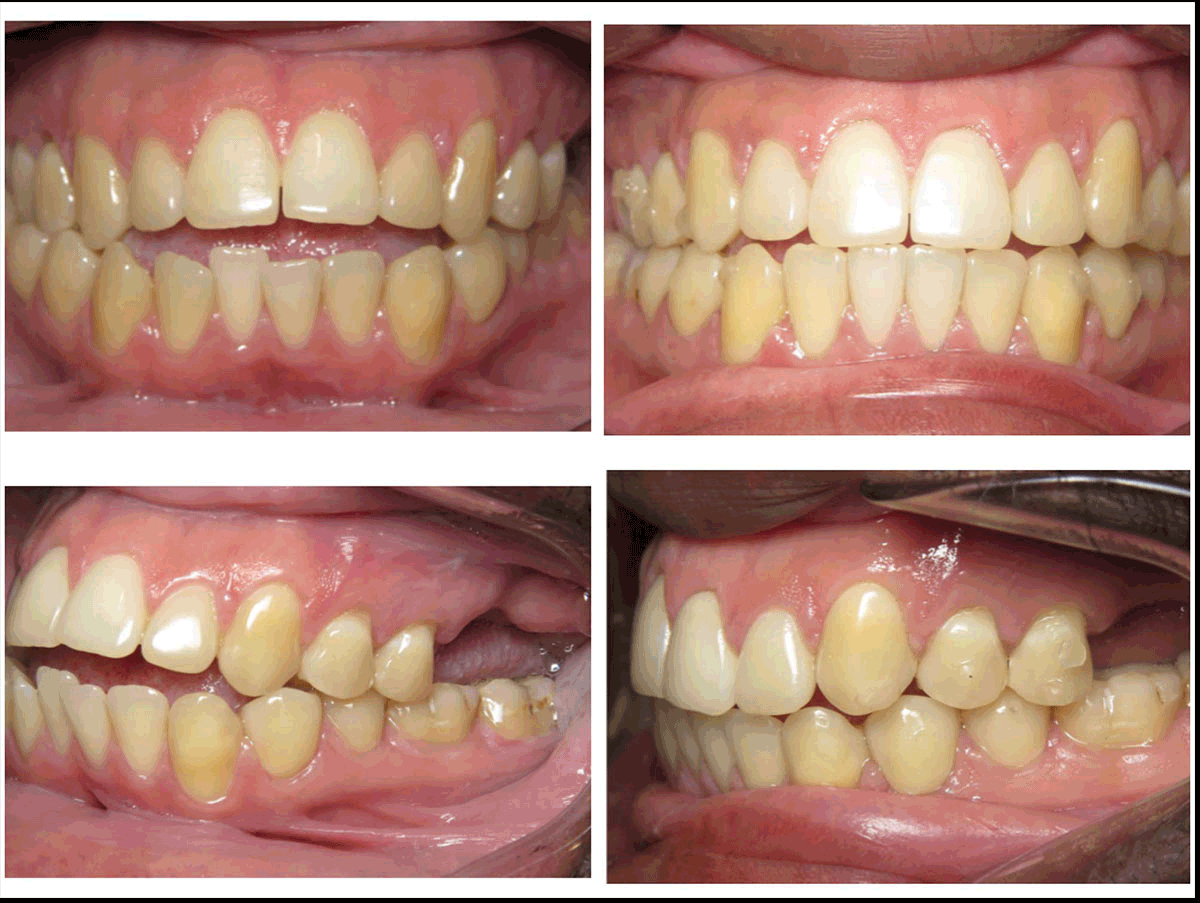
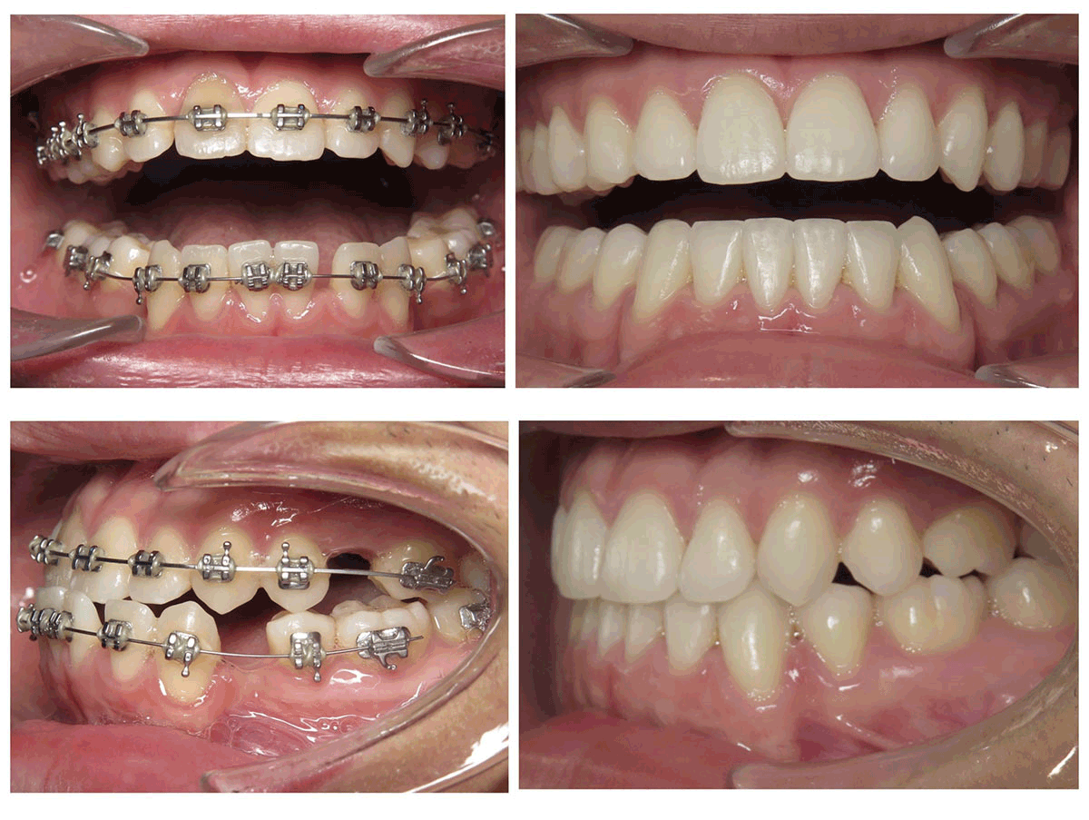
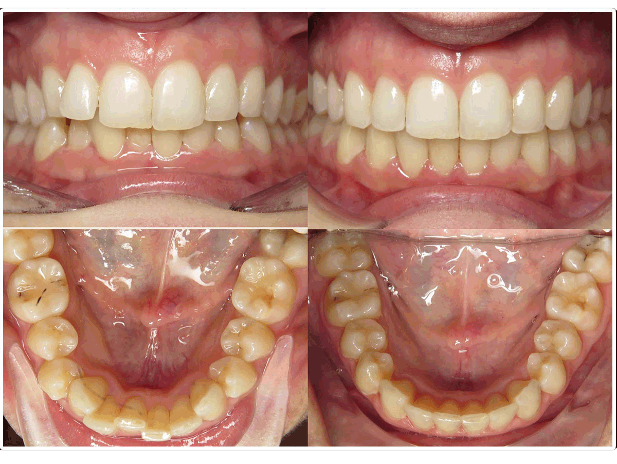
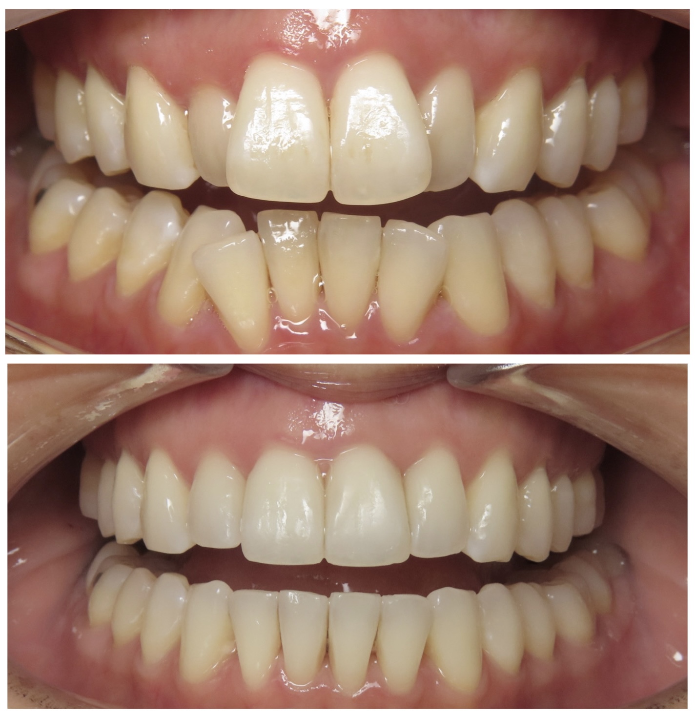
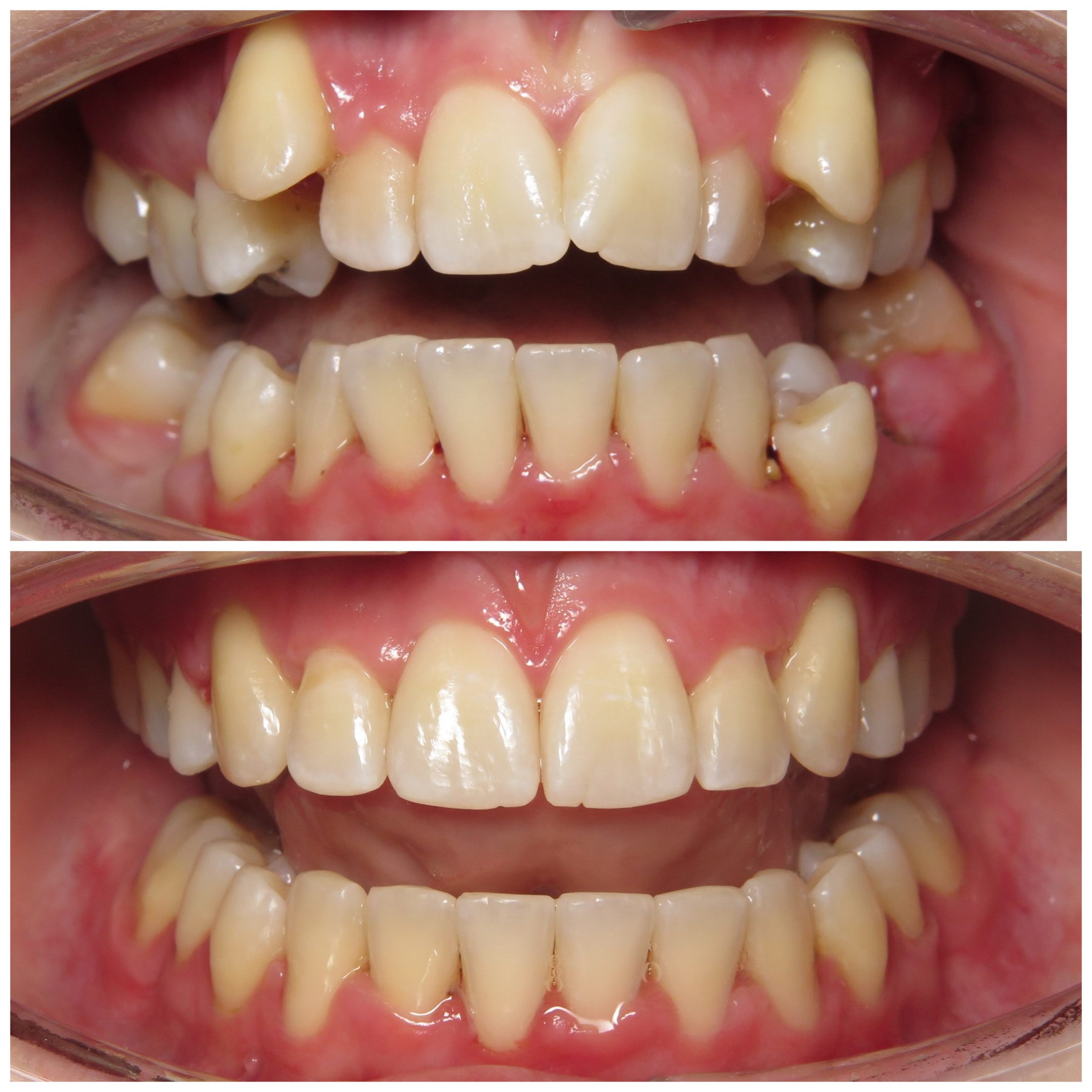
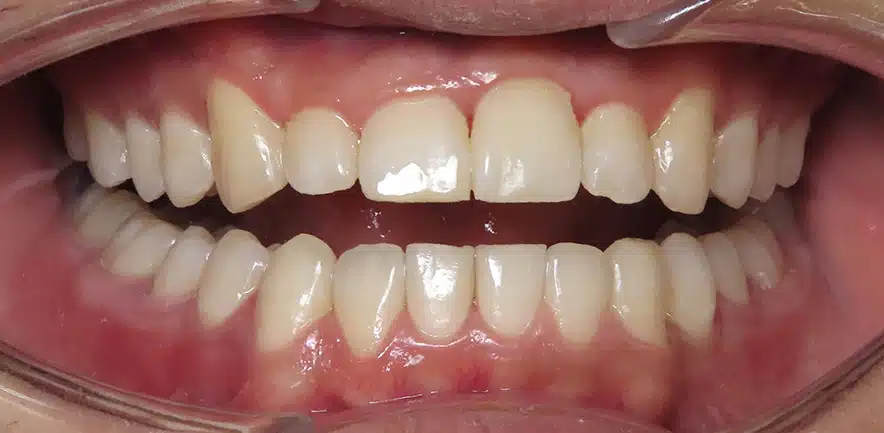
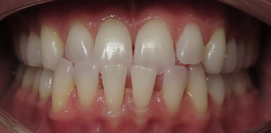
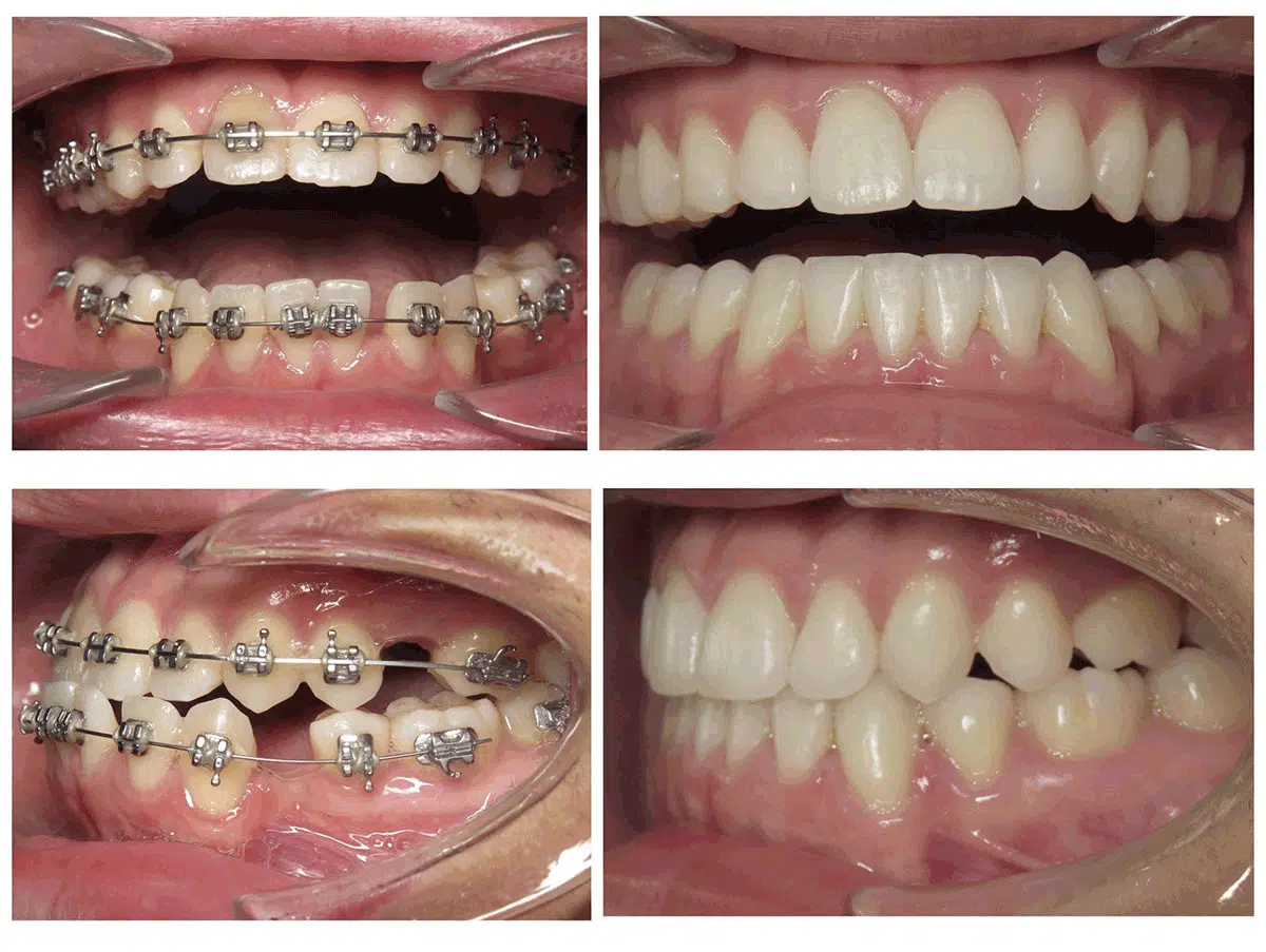
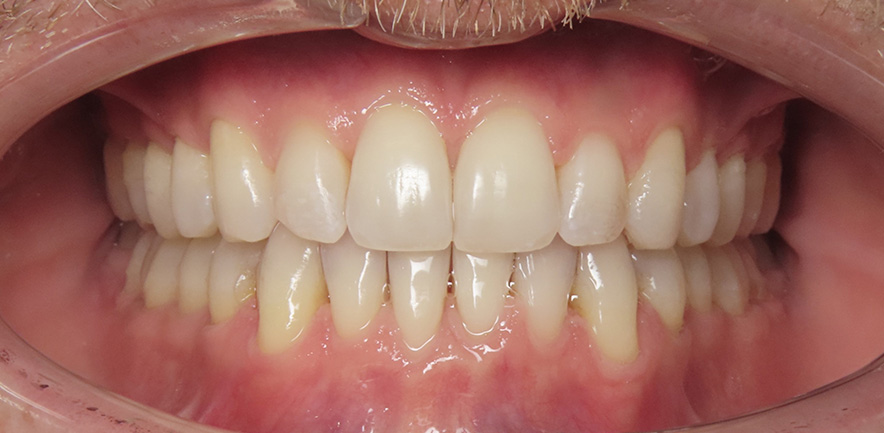
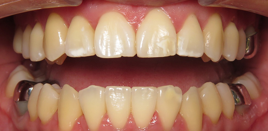
Deep Bite with Flared Teeth
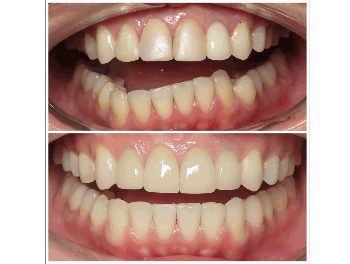
Hermon was unhappy with her smile and how her front teeth stuck out too much. Her adult orthodontic treatment lasted 2 years using clear braces and TADs (temporary anchorage devices). Our goal was to intrude her upper teeth, align and create a harmonious smile. We achieved our goals in 2 years and she was ecstatic about her new smile!
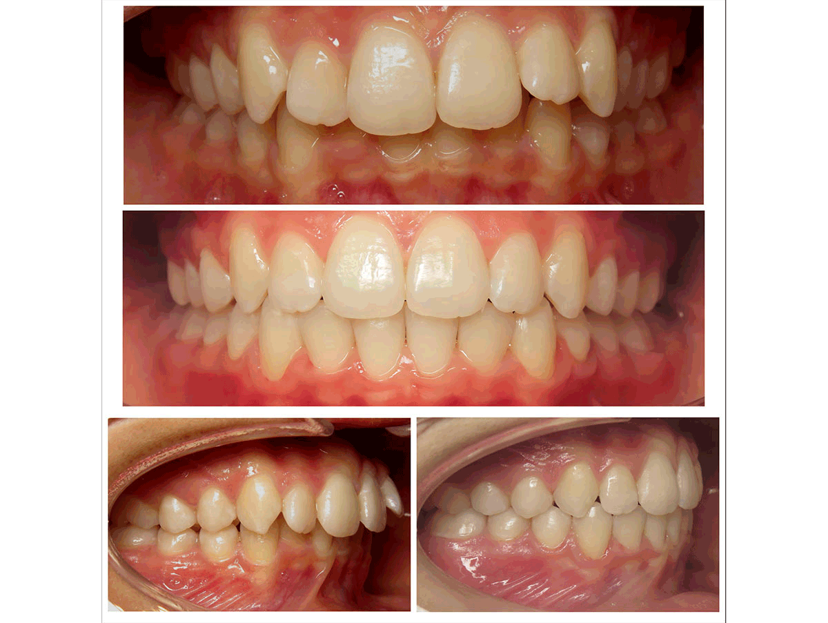
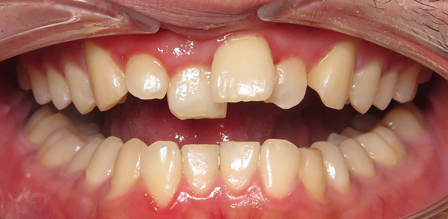
Ectopic Canines
Nick’s parents were concerned about his “fangs” aka canines being out of place. We used metal braces and some finishing elastics to bring his maxillary canines down and aligned his teeth. His orthodontic treatment lasted 18 months and what a dramatic improvement to his smile. Nick couldn’t wait to show off his new beautiful smile!
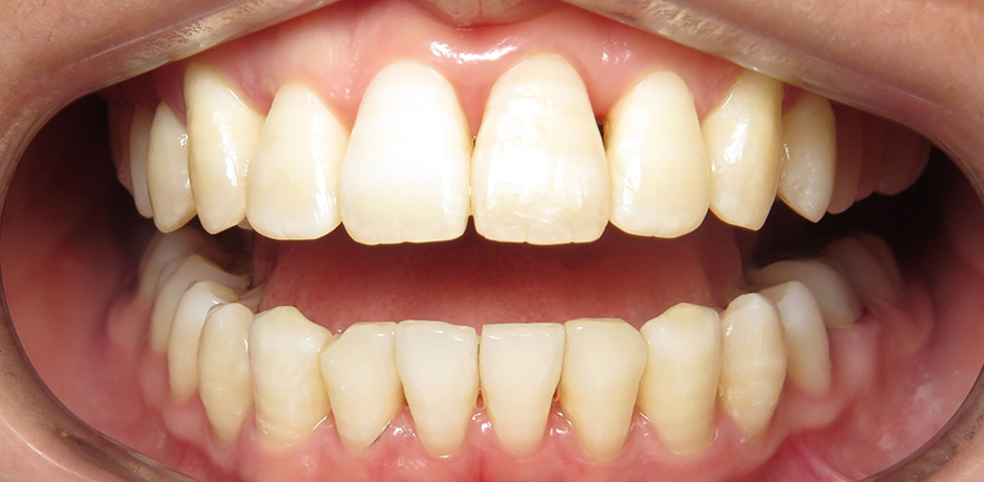
Phase I- Rotated Incisors
Natalie was self-conscious about her front adult teeth erupting crooked and rotated. Phase I treatment was needed to align her permanent incisors and restore a young girl’s confidence. Orthodontic treatment time was only 6 months to set up a good foundation and we will continue to monitor permanent teeth eruption as she becomes a teenager.
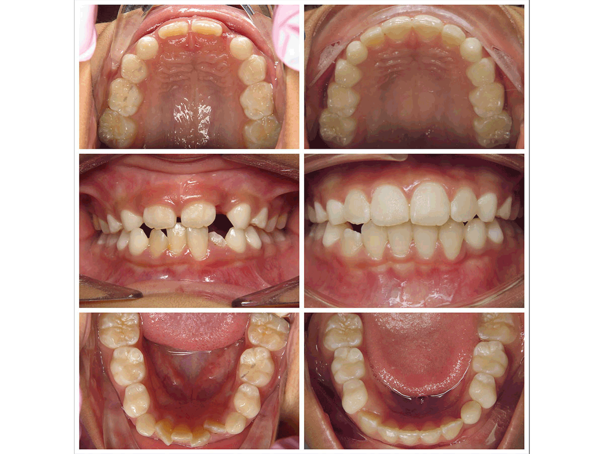
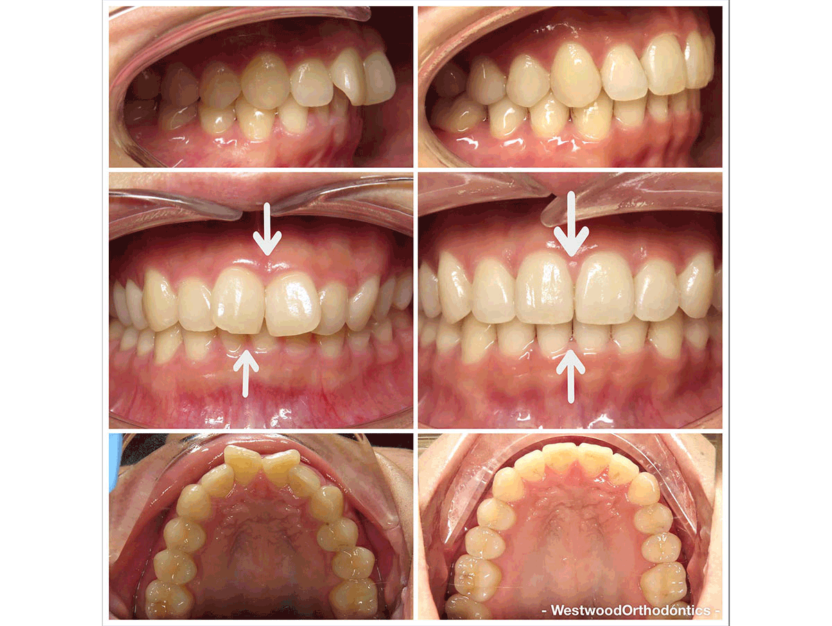
Anterior Openbite with Spacing
Meron was unhappy with how her teeth did not touch in the front and she could not bite into food, especially pizza. As a young adult she wanted to correct her openbite and have a pretty smile for interviews. Our treatment was 12 months with Invisalign therapy to close her anterior openbite and close all her spaces. She couldn’t wait to show off her new smile and bite into a slice of pizza!
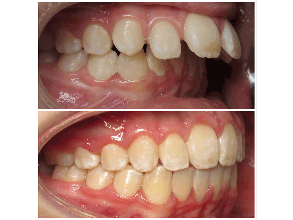
Anterior Underbite
Stella’s mom was very concerned about her young daughter’s underbite, which is called anterior crossbite. She did not want Stella to need jaw surgery later as a young adult to correct the skeletal issues. With orthodontic treatment and growth modification, a normal anterior bite relationship was achieved in 2 years with braces and elastics. Stella’s new smile is just as beautiful as she is.
Dental Spacing
Jonathan had lots of spaces between his teeth and he wanted them to stick out less. With Invisalign treatment for 9 months, his new smile is transformed. He now has the smile and teeth he has always wanted: the spaces are all closed and his front teeth are no longer protruding forward.